インプラント1本ケース
| 主訴 | 歯を入れたい・噛めるようにしたい |
|---|---|
| 治療内容 | インプラント |
| 費用(税込) | CT検査・診断 44,000円 サージカルガイド 55,000円 インプラント本体~上物まで 約400,000円 |
| 治療期間 | 約4か月 |
| 通院回数 | 5~10回 ※状況によって異なります |
| リスク・副作用 | 外科処置なので、処置後腫れや痛みが生じる場合がある。 インプラント周囲炎を起こすと骨が定着しにくい場合がある。 |
現在の予約状況
症例紹介
| 主訴 | 歯を入れたい・噛めるようにしたい |
|---|---|
| 治療内容 | インプラント |
| 費用(税込) | CT検査・診断 44,000円 サージカルガイド 55,000円 インプラント本体~上物まで 約400,000円 |
| 治療期間 | 約4か月 |
| 通院回数 | 5~10回 ※状況によって異なります |
| リスク・副作用 | 外科処置なので、処置後腫れや痛みが生じる場合がある。 インプラント周囲炎を起こすと骨が定着しにくい場合がある。 |
| 主訴 | 歯が割れた・インプラントを入れたい |
|---|---|
| 治療内容 | インプラント |
| 費用(税込) | CT検査・診断 44,000円 サージカルガイド 55,000円 インプラント本体~上物まで 401,000円 |
| 治療期間 | 約4か月 |
| 通院回数 | 5~10回 ※状況によって異なります |
| リスク・副作用 | 外科処置なので、処置後腫れや痛みが生じる場合がある。 インプラント周囲炎を起こすと骨が定着しにくい場合がある。 |
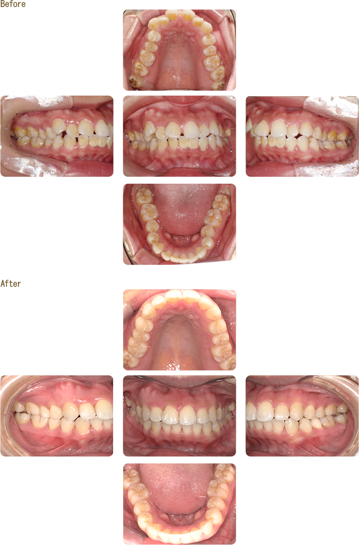
| 主訴 | 前歯の凸凹を治したい |
|---|---|
| 治療内容 | マウスピース型矯正装置(インビザラインgo)での矯正(マウスピース矯正) |
| 費用(税込) | 33,000円(診断料) 矯正基本料金 770,000円 調整料 5,500円×6か月 リテーナー代 55,000円 |
| 治療期間 | 約6か月 |
| 通院回数 | 約10回(う蝕・歯周病の治療が必要な場合すべて終了してから) |
| リスク・副作用 | 歯根吸収、歯肉退縮 |
| 主訴 | 歯並びを治したい、前歯の色が気になる |
|---|---|
| 治療内容 | マウスピース型矯正装置(インビザライン)での矯正・前歯のセラミック治療 |
| 費用(税込) | マウスピース矯正 検査・診断料 33,000円 マウスピース型矯正装置(インビザラインGO) 770,000円 マウスピース管理費 5,500円×8か月 ジルコニアクラウン 110,000円×2本 ジルコニアクラウン装着代 2,500円×2本 リテーナー 上下 55,000円 |
| 治療期間 | 7ヶ月 |
| 通院回数 | 12回 |
| リスク・副作用 | 歯根吸収、歯肉退縮 |
| 主訴 | 歯並びと前歯が黒いのを治したい |
|---|---|
| 治療内容 | マウスピース型矯正装置(インビザラインgo)での矯正(マウスピース矯正)と左上2ジルコニアクラウン治療 |
| 費用(税込) | 33,000円(診断料) 矯正基本料金 770,000円 調整料 5,500円×6か月 ジルコニアクラウン 110,000円 リテーナー代 55,000円 |
| 治療期間 | 約6か月 |
| 通院回数 | 約12回(う蝕・歯周病の治療が必要な場合すべて終了してから) |
| リスク・副作用 | 歯根吸収、歯肉退縮 |
| 主訴 | 歯並びを改善したい、前歯のすきっ歯を治したい |
|---|---|
| 治療内容 | マウスピース型矯正装置(インビザラインgo)での矯正(マウスピース矯正) |
| 費用(税込) | 33,000円(診断料) 矯正基本料金 770,000円 調整料 5,500円×5か月 リテーナー代 55,000円 |
| 治療期間 | 約6ヶ月 |
| 通院回数 | 約10回(う蝕・歯周病の治療が必要な場合すべて終了してから) |
| リスク・副作用 | 歯根吸収、歯肉退縮 |
| 主訴 | 前歯の隙間・歯並び直したい |
|---|---|
| 治療内容 | マウスピース型矯正装置(インビザライン)での矯正・親知らず抜歯 |
| 費用(税込) | 33,000円(診断料) 矯正基本料金 770,000円 調整料 5,500円×11ヶ月 親知らず抜歯 健康保険診療内 リテーナー代 55,000円 |
| 治療期間 | 約11ヶ月 |
| 通院回数 | 約14回 ※親知らずの抜歯を含む (う蝕・歯周病の治療が必要な場合すべて終了してから) |
| リスク・副作用 | 歯根吸収、歯肉退縮 |
| 主訴 | 前歯の重なりを直したい |
|---|---|
| 治療内容 | マウスピース型矯正装置(インビザライン)での矯正 |
| 費用(税込) | 33,000円(診断料) 矯正基本料金 770,000円 調整料 5,500円×6ヶ月 リテーナー代 55,000円 |
| 治療期間 | 約6ヶ月 |
| 通院回数 | 約10回(う蝕・歯周病の治療が必要な場合すべて終了してから) |
| リスク・副作用 | 歯根吸収、歯肉退縮 |
| 主訴 | 銀歯を白くしたい |
|---|---|
| 治療内容 | 左上4・5ジルコニアインレー |
| 費用(税込) | ジルコニアインレー 55,000円×2本 装着代 2,500円×2本 |
| 治療期間 | 約2週間 |
| 通院回数 | 2回 |
| リスク・副作用 | 詰め物チッピングのリスク |
| 主訴 | 銀歯をきれいにしたい、むし歯を治したい |
|---|---|
| 治療内容 | 左下6・7ジルコニアクラウン |
| 費用(税込) | ジルコニアクラウン 110,000円×2本 装着代 2,500円×2本 |
| 治療期間 | 約2週間 |
| 通院回数 | 2回 |
| リスク・副作用 | 詰め物チッピングのリスク |
| 主訴 | 前歯の黒ずみ気になる |
|---|---|
| 治療内容 | 上顎前歯6本のセラミック治療 (ジルコニアクラウン) |
| 費用(税込) | 660,000円 |
| 治療期間 | 約1か月 |
| 通院回数 | 3回(歯周病の状態によっては長引くことあり) |
| リスク・副作用 | レジン修復と比較し、健全歯質を削る量が多くなる。 感染歯質が多い時、歯質が過敏になったり、失活することがある。 レジン修復と比較し、費用が高額である。 |
| 主訴 | 歯を綺麗にしたい、白くしたい |
|---|---|
| 治療内容 | オフィスホワイトニング |
| 費用(税込) | 33,000円 |
| 治療期間 | 最短1日 |
| 通院回数 | 最短1回(う蝕・歯周病の治療が必要な場合すべて終了してから) |
| リスク・副作用 | ● 知覚過敏:施術後に冷たいものや熱いものに対して歯がしみやすくなることがある。 ● 歯茎や口腔内の刺激・炎症:薬剤が歯茎などの粘膜に触れると、痛みや炎症を起こすことがある。 ● 歯の色ムラ:歯の状態や元の色によって、均一に白くならないことがある。 ● ホワイトスポットの出現 ● 一時的な歯のざらつき:施術後、歯の表面がざらつく感じがすることがある。 ● 効果の持続性が個人差あり:飲食習慣や喫煙の有無により、白さの持続期間が異なる。 ● 人工歯には効果がない:差し歯や詰め物、クラウンなどの人工物は白くならない。 ● 歯の表面へのダメージ:過度なホワイトニングを繰り返すと、エナメル質を傷つける可能性がある。 ● 施術後の一時的な違和感:歯や口内に違和感や軽い痛みを感じることがある。 |
| 主訴 | 歯のクリーニングがしたい、歯を綺麗にしたい、着色を落としたい |
|---|---|
| 治療内容 | PMTC |
| 費用(税込) | 12,100円 ※自由診療 |
| 治療期間 | 1日 |
| 通院回数 | 1回(虫歯や歯周病が重度の場合は回数かかることあり) |
| リスク・副作用 | ● 知覚過敏:象牙質が露出している場合などに、PMTC後に一時的にしみるなどの症状が出ることがある。 ● 歯肉の刺激・炎症:器具が歯肉に強く当たると、腫れや出血を伴うことがある。 安全性が高い処置ですが、個々の口腔状態や体質によっては注意が必要な点もあります。 気になることがあれば、事前に歯科医師や歯科衛生士に相談するのが望ましいです。 |
| 主訴 | コーヒーをよく飲むため着色が気になる、クリーニングしたい |
|---|---|
| 治療内容 | PMTC |
| 費用(税込) | 12,100円 ※自由診療 |
| 治療期間 | 1日 |
| 通院回数 | 1回(むし歯や歯周病が重度の場合は回数かかることあり) |
| リスク・副作用 | ● 知覚過敏:象牙質が露出している場合などに、PMTC後に一時的にしみるなどの症状が出ることがある。 ● 歯肉の刺激・炎症:器具が歯肉に強く当たると、腫れや出血を伴うことがある。 安全性が高い処置ですが、個々の口腔状態や体質によっては注意が必要な点もあります。 気になることがあれば、事前に歯科医師や歯科衛生士に相談するのが望ましいです。 |
| 主訴 | 歯の着色を取りたい、口臭が気になる |
|---|---|
| 治療内容 | PMTC |
| 費用(税込) | 12,100円 ※自由診療 |
| 治療期間 | 1日 |
| 通院回数 | 1回(むし歯や歯周病が重度の場合は回数かかることあり) |
| リスク・副作用 | ● 知覚過敏:象牙質が露出している場合などに、PMTC後に一時的にしみるなどの症状が出ることがある。 ● 歯肉の刺激・炎症:器具が歯肉に強く当たると、腫れや出血を伴うことがある。 安全性が高い処置ですが、個々の口腔状態や体質によっては注意が必要な点もあります。 気になることがあれば、事前に歯科医師や歯科衛生士に相談するのが望ましいです。 |
| 主訴 | 歯肉から出血する |
|---|---|
| 治療内容 | 歯周再生療法 |
| 費用(税込) | 保険の場合保険点数に準じる 自費の場合88,000円 ※自由診療 |
| 治療期間 | 約1ヶ月 |
| 通院回数 | 3回(ope・消毒込み) |
| リスク・副作用 | 術後疼痛・歯肉退縮・知覚過敏の可能性あり |
| 主訴 | ガミースマイルが気になる |
|---|---|
| 治療内容 | クラウンレングスニング(歯冠長延長術) |
| 費用(税込) | 88,000円 |
| 治療期間 | 約1、2か月(歯肉の治癒時間) |
| 通院回数 | 最短3回(むし歯・歯周病の治療が必要な場合すべて終了してから) |
| リスク・副作用 | ● 知覚過敏:施術後に冷たいものや熱いものに対して歯がしみやすくなることがある。 ● 歯肉退縮 ● 効果の持続性が個人差あり:持続期間が異なる。 ● 施術後の一時的な違和感:歯肉に違和感や軽い痛みを感じることがある。 |
| 主訴 | 歯がぼろぼろ。 トラウマがあり歯科恐怖症があるが、短期集中治療をしたい。 |
|---|---|
| 治療内容 | 静脈内鎮静法を用いた全顎的なむし歯治療 【コンポジットレジン修復】 右上1~7/右下3・4・5/左下3・4・5/左上1・2・3・4 【マイクロエンド(精密顕微鏡根管治療)】【 ファイバーコア】 左上6 【ジルコニアクラウン】 右下6/左下6/左上5・6・7 【ジルコニアインレー】 右下5/左下5/左上4 【抜歯】 左下7/右下7・8 |
| 費用(税込) | 静脈内鎮静法 ¥88,000×5回 コンポジットレジン修復(保険外) ¥11,000×17本 大臼歯マイクロエンド (精密顕微鏡根管治療) ¥110,000 ファイバーコア ¥22,000 ジルコニアクラウン ¥99,000×5本 ジルコニアインレー ¥55,000×3本 装着代 ¥2,500×8本 |
| 治療期間 | 約4ヶ月 |
| 通院回数 | 8回 |
| リスク・副作用 | 静脈内鎮静法について ●処置3時間前からの絶食 ●術中に胃の内容物の逆流の可能性 ●処置後のふらつき マイクロエンド (精密顕微鏡根管治療) ●処置後のフレアアップ (2~3日後あたりまで痛みがでる可能性) ジルコニアクラウン、ジルコニアインレー ●レジン修復に比較すると、歯質切削量が多くなる ●詰め物のチッピングのリスク |
現在の予約状況